Skip to content
Sinha Dental Clinic
Home
About Us
Treatments
Root Canal Treatment
Gum Surgeries
Gingivitis
Teeth Scaling
Teeth Whitening
Tooth Extraction
Tooth Crown
Dental Bridges
Teeth Braces
Smile Designing
Dental Implants
Clear Aligners
Dentures
Teeth Fillings
Teeth Cleaning
Full Mouth Rehabilitation
All-on-X Dental Implants
Hard And Soft Tissue Augmentation
Blogs
Testimonials
Our Results
Contact Us
Menu
Home
About Us
Treatments
Root Canal Treatment
Gum Surgeries
Gingivitis
Teeth Scaling
Teeth Whitening
Tooth Extraction
Tooth Crown
Dental Bridges
Teeth Braces
Smile Designing
Dental Implants
Clear Aligners
Dentures
Teeth Fillings
Teeth Cleaning
Full Mouth Rehabilitation
All-on-X Dental Implants
Hard And Soft Tissue Augmentation
Blogs
Testimonials
Our Results
Contact Us
Call Us:
+91-7800006343
BOOK APPOINTMENT
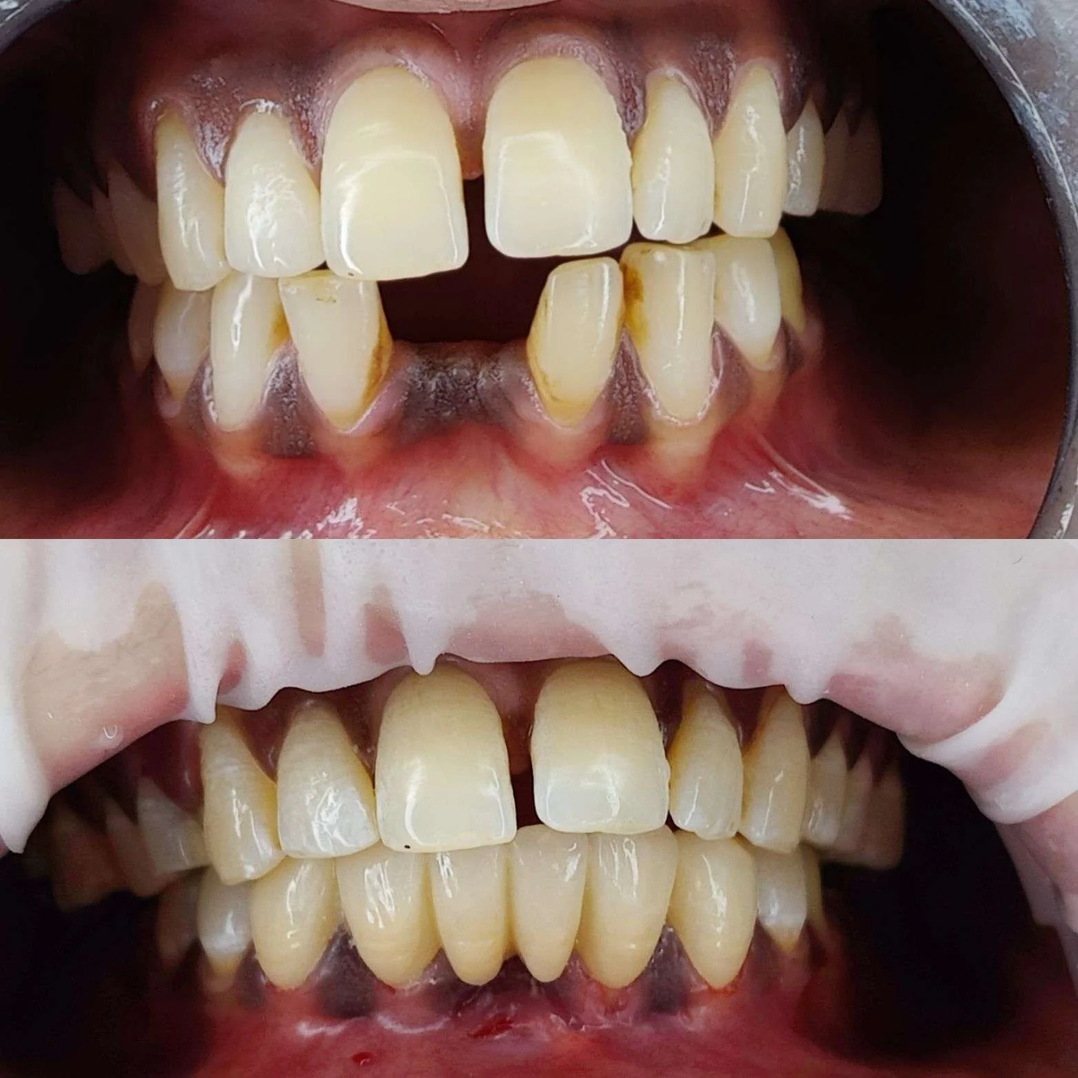
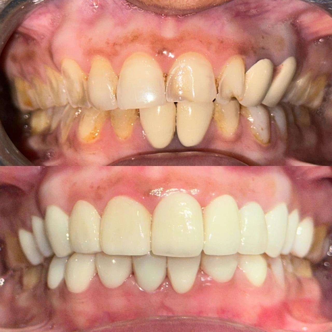
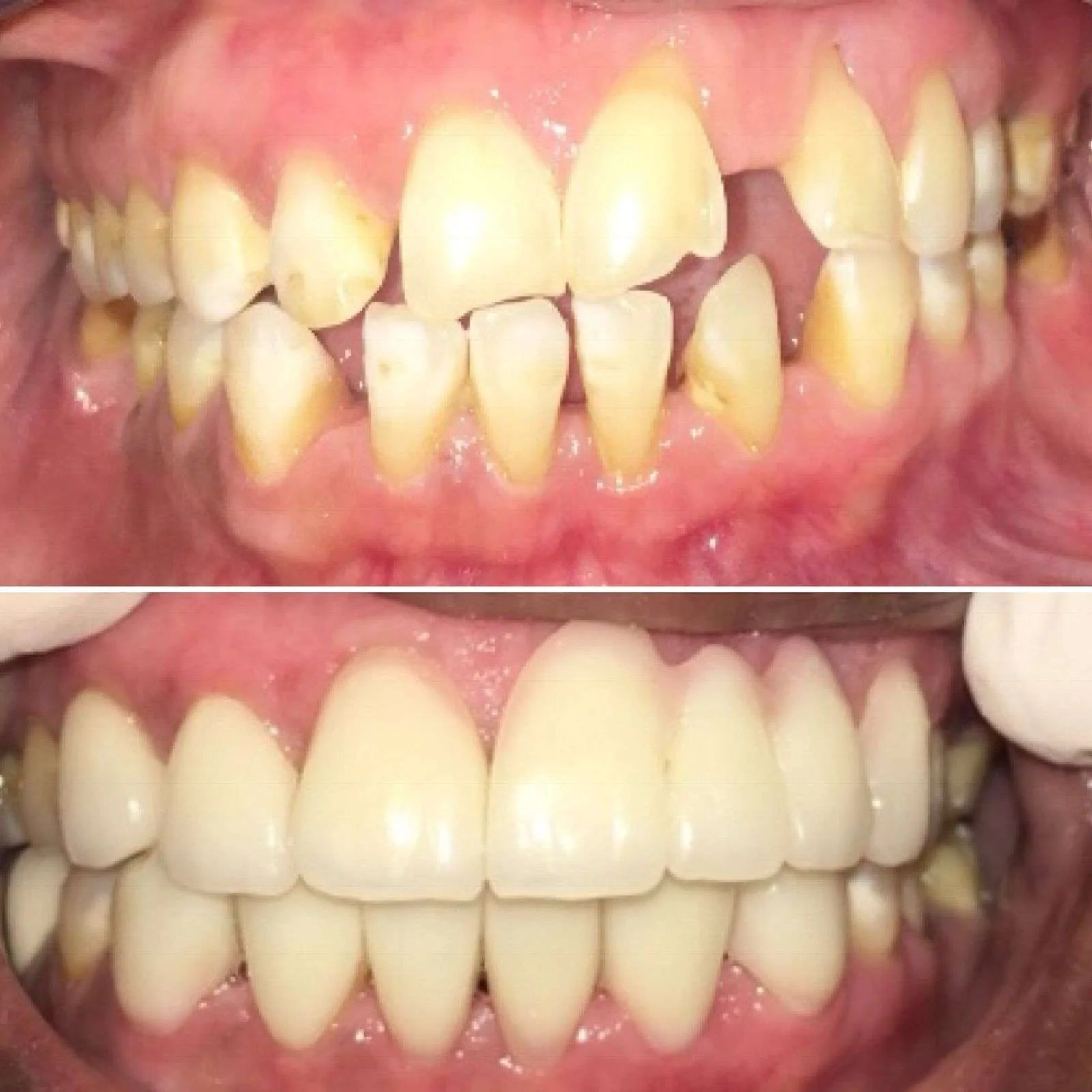
Before & After Results
Scroll to Top
Fill out the form below to request your dental appointment.
We’ll confirm your time and send you a reminder.
Reason Of Visit
Routine Checkup
New Patient Visit
Specific Concern
Book Your Consultation Today